実際の治療の流れ
1週間間隔、計5回、1セットの治療となっております。
状態や改善には個人差がありますので、まずは無料のご相談にてお悩みをお聞かせください。
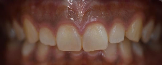
①ガムピーリング治療前
タバコやコーヒーの影響により
染まってしまった歯茎の状態です。

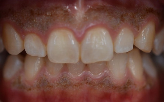
②治療直後
炭酸ガスレーザーを当てて、「かさぶた」を作った状態
(1週間ほどで新しい歯茎に変化します)

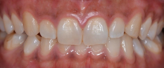
③1回目の治療から1週間後
レーザーを当ててから、およそ
1週間ほどで新しい歯茎に変化します。
歯茎の深い所まで着色していたため、
残りの着色がまだ認められます。

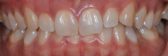
④5回目の治療から1週間後
レーザーを5回当てたことで、かなりの着色を除去することができました。
このように1週間間隔で、5回行うことで、綺麗なピンク色の歯茎へ改善致します。

POINT
歯茎が着色してしまう原因について
歯茎は、日頃の生活習慣や歯科治療、遺伝など様々な原因により着色してしまうことが考えられます。
- 飲食(お酒:赤ワイン、コーヒー、紅茶、お茶)
日頃から、着色しやすい飲食物を摂取した場合、頻度に応じて歯茎が着色してしまう可能性が高くなります。
- 受動喫煙・喫煙(葉巻きタバコ、紙巻きタバコ、電子タバコ)
タバコなどを吸った場合、ニコチンやタールなどの有害物質が多く含まれており、 体の防御反応として歯茎を守るため、メラニン色素が作られ、歯茎が黒ずんでいきます。また、ニコチンの影響により歯茎の血流が悪くなることで、歯茎が赤黒く見えることもあり、歯茎全体に影響(歯茎を弱らせ、歯周病を悪化させます)致します。受動喫煙に関しましても、吸い込んでしまった量に応じて、歯茎の着色も濃くなります。
- 口呼吸(鼻が詰まりやすい方)
鼻呼吸と比較した場合、口を開けた状態で呼吸するため、とても歯茎が乾燥しやすくなります。歯茎が乾燥することで、刺激を受けやすく、メラニン色素が作られやすくなり、歯茎が着色しやすくなります。また、口呼吸により唾液の量も減少することで、歯茎の表面についてしまった色素が除去されづらくなり、色素沈着が起こる可能性も高くなります。 - 紫外線による日焼け
太陽の影響により体の皮膚が日焼けするように、歯茎も例外なく、日焼けします。日焼けした場合、歯茎を守ろうとメラニン色素が増えることで、黒ずんでいきます。 - ビタミンC不足
ビタミンCは、メラニン色素が作り出されるのを抑えてくれています。しかし、喫煙することで、ビタミンCは破壊され、喫煙量が多ければ多い程、歯茎が着色していきます。 - 乳歯から永久歯に生え変わるタイミング(成長期)
乳歯から永久歯に生え変わる際に歯茎や粘膜に影響し、歯茎が着色することがあります。一時的な反応のため、ほとんどのケースでは、永久歯に生え変わったタイミングで歯茎の着色は自然に消えていきます。 - メタルタトゥー(金属イオンが溶けだして着色)
金属の被せ物・詰め物が唾液に触れ続けることで溶け出した金属イオンや金属の被せ物・詰め物・土台を除去した際に歯茎に金属粒子が沈着することで、歯茎が黒く(グレーのような黒さ)なることがあります。また、金属が触れていたような歯茎にピンポイントで認められます。 - ブラックマージン
主に被せ物の金属部分が露出してしまうことで歯茎との境が黒ずんで見える場合と、歯の根っこが劣化により黒ずむことで、歯茎が黒ずんで見えてしまう場合があります。 - 歯周病の影響によるもの
磨き残しにより歯周病が進行することで、歯茎が腫れ、充血し、赤黒っぽく見えてしまいます。また、歯茎のポケットの中に黒い歯石が付着することで、歯茎が黒く着色しているように見えます。 - 遺伝によるもの
御家族の方(特にお父さん、お母さん)が、歯茎が着色している場合、遺伝する可能性があります。
ガムピーリング治療は
このような方におすすめです
- 歯茎が黒くてお悩みの方
- お話しや笑った時の歯茎に自信が持てない方
- 結婚式やイベント前に歯茎をきれいにされたい方
- 喫煙されている方(過去に喫煙されていた方)またはご家族のどなたかが喫煙されている方
- ホワイトニングやセラミックを被せて歯は白くなっても、歯茎が黒くて明るく見えないように感じられる方
- 日頃から口呼吸になってしまい、歯茎が黒ずんでしまった方
- 日焼けによって歯茎が黒くなってしまった方
- 人に見られる職業につかれている方
- 接客業をされている方

まずはお気軽にご相談ください。
このように、歯茎をきれいなピンク色の状態へ改善されたい方におすすめとなっております。
また、歯茎がきれいなピンク色になることで、お口元の印象が大きく変わります。
治療のタイミングについて
当院では、年齢や成長状態を必ず確認させて頂きます。
検査後に、特に問題が無ければ、患者様のご希望の上、治療を行わせて頂きます。
治療を見合わせて頂く条件
以下のような条件の患者様はガムピーリング治療を見合わせる場合がございますので、あらかじめご了承ください。
- 妊娠中または授乳中の方
現在、ガムピーリングに対する安全性が確立されておりませんので、お子様の安全を考え、ご遠慮させて頂いております。ご出産、卒乳後におすすめしております。 - 乳歯から永久歯に生え変わる時期(成長期)
乳歯から永久歯に生え変わりの時期では、永久歯に生え変わる(14歳頃)までお待ち頂くようお願いいたします。(永久歯に生え変わったころに着色が消えていく可能性があります) - 数年以内にがん治療を行われた方
がん治療により、放射線を当てられた部位や、原発部位にレーザーを当てることは禁止されております。ご理解くださいますようお願いいたします。 - 重度歯周病の方
重度歯周病の場合、歯茎が腫れて、充血している状態のため、レーザーを当てることで、出血や症状悪化につながる恐れがございます。
まずは、歯周病治療をおすすめしております。
ガムピーリング治療の効果について
歯茎の着色が濃ければ濃い程、きれいなピンク色の歯茎へ回復するまでに治療回数がかかります。

治療後の後戻りに関しましても、喫煙や着色しやすい飲食物の摂取度合いに影響を受けます。喫煙をされているよりも、禁煙されている方が後戻りしにくいので、期間中だけではなく治療後にも注意を払えることができれば、より後戻りしにくいといえます。
レーザーを5回当ててもまだ少し歯茎が着色している場合
患者様のご希望に応じて、追加で1回ずつのプランまたは、1セット追加のプランをお選び頂くことが可能です。
また、歯茎以外が原因となっていることもございますので、「歯茎の着色の状態に応じた治療方法」にてご説明をさせて頂きます。
歯茎の着色の状態に応じた治療方法
- 炭酸ガスレーザーによるガムピーリング治療
着色してしまった歯茎にレーザーを当てることで、きれいなピンク色の歯茎へ改善させていく方法となります。治療前には、痛みを少しでも感じられないように、表面麻酔を行わせて頂きます。「痛みが苦手な方でも安心してお受け頂ける治療」となっております。治療対象となる歯茎の状態につきましては、
・飲食(お酒:赤ワイン、コーヒー、紅茶、お茶)によるもの
・受動喫煙・喫煙(葉巻きタバコ、紙巻きタバコ、電子タバコ)によるもの
・口呼吸(鼻が詰まりやすい方)によるもの ・紫外線による日焼けによるもの
・ビタミンC不足によるもの
・メタルタトゥー(金属イオンが溶けだして着色)
以上が該当致します。 - オールセラミッククラウン治療
(金属を一切使用しておりません)
「オールセラミッククラウンによる被せ物治療」
被せ物の金属部分が露出してしまうことで、歯茎との境が黒ずんで見えてしまう場合には、
金属を一切使用していないような被せ物にやり替えることで、きれいなピンク色の歯茎に回復させることが可能となります。自然な状態に回復されたいなどの審美的な改善をご希望される場合は、オールセラミッククラウン治療がおすすめとなります。歯を削って整えて、最終的に被せる治療となりますが、当院では、完全オーダーメイドとなっておりまして、患者様がお望みの形や色合いに仕上げられるよう、世界品質の素材を使用し、セラミスト(セラミック専門熟練技工士)の手により唯一無二の逸品をご製作させて頂きます。詳細につきましては、セラミック治療専用HP をご覧ください。
また、被せ物を除去した際に、中にある土台に金属を使用されていた場合、歯茎が黒く着色しているように見える原因になる可能性がございますので、ご希望に応じて、金属を一切使用していない「グラスファイバーコア(土台)」のやり替えもご案内させて頂きます。治療対象となる歯茎の状態につきましては
・ブラックマージン
以上が該当致します。 - 歯周病治療
「ご自宅での歯磨き改善、歯科医院での歯周病治療が重要となります」日頃の歯磨きを怠ってしまい、磨き残しの量が多い場合、歯周病の悪化へとつながります。
歯周病の進行に伴い、歯茎が炎症を起こし、腫れて、充血してしまうことで、歯茎の色が赤黒く変色してしまいます。歯周病による歯茎の変色に関しましては、基本的にご自宅での念入りな歯磨きと、歯科医院での歯周病治療を行わせて頂くことで、改善していきます。治療対象となる歯茎の状態につきましては、
・歯周病の影響によるもの
以上が該当致します。 - 経過観察
成長期の際に認められる、乳歯から永久歯の生え変わりのタイミングで、周囲の歯茎や粘膜に影響してしまい、着色することがあります。基本的には、一時的な現象のため、多くの方の場合、永久歯が生えた時点で、着色が消えていきます。歯茎の着色が消えない際は、ご遠慮なくご相談頂けましたら幸いです。治療対象となる歯茎の状態につきましては、
・乳歯から永久歯に生え変わるタイミング(成長期)
以上が該当致します。




