当院の治療の症例

「CO₂レーザー」を使用した
ガムピーリング治療
(5回 1セット+1回)

矯正治療開始

経過をスライドで

ご覧ください

治療方法「CO₂レーザー」を使用した
ガムピーリング治療
(5回 1セット+1回)

治療内容

ガムピーリング治療
ガムピーリング治療とは、歯茎に茶色や黒く染まってしまった着色に対して、レーザーを当てることできれいなピンク色の歯茎へ改善させていく治療方法となっております。

院長コメント

今回のポイント
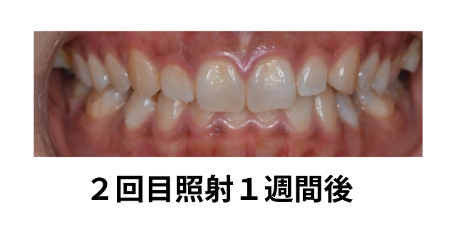
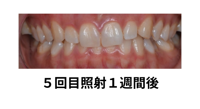
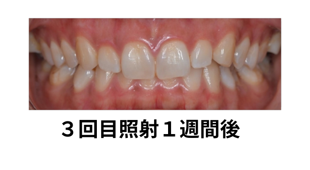
長期間の喫煙およびコーヒーを飲み続けられたことにより、歯茎に重度の着色(黒色)所見が認められました。長年かけて着色してしまった歯茎は、深い所まで染まっていますが、レーザー治療により6回照射を繰り返し行わせて頂いたことで、きれいなピンク色の歯茎に回復させていただいたこととなります。また、治療がきっかけにより禁煙に成功いたしました。
お悩みポイント
お悩みとしましては、前歯から小さい奥歯辺りの歯茎が黒っぽく着色してしまい、見た目の審美的問題が大きく生じていることでした。まずは、カウンセリングにて、ご希望されているイメージをお聞かせ頂き、ご相談後、CO₂レーザーによるガムピーリング治療をご選択されました。痛みをほとんど感じることなく、きれいなピンク色の歯茎に回復させることができる「歯茎にとてもやさしい治療」となっております。
※今回の症例では、治療期間及びその後も禁煙して頂いたことにより、大幅に改善させて頂くことができました。
治療方法
治療方法としましては、
①写真撮影(初回時:治療前写真、2回目以降:評価写真)
②表面麻酔 ③レーザー照射 詳細につきましては、「治療の流れ」をご覧ください。
着色してしまった歯茎にレーザー照射をさせて頂いたことにより きれいなピンク色の歯茎へ導くことができ、最高な笑顔に回復させて頂くことができました。

治療期間・通院回数

6日 6回(1回15~30分)

治療費

総額 36,000円(税込 39,600円)

1セット5回 + 1回

治療のリスク

①治療期間中及び治療後の喫煙や色のつきやすい物を飲食された場合に、色が後戻りしてしまう可能性
②表面麻酔後、治療中にヒリヒリした痛みが出る可能性
③中等度~重度症例では、改善までに治療回数が増加する可能性があること
④治療後にまれに沁みるような感じを自覚される可能性があること
⑤自費治療扱いとなること
⑥長期間経過後に後戻りする可能性があること
どのような治療におきましても必ずリスクや副作用がございます。
当院では、少しでも回避できるよう全力で努力致しております。
ご理解頂けましたら幸いです。
→メリット&デメリットについて